




上顎前突(じょうがくぜんとつ)とは、一般的に「出っ歯」と呼ばれるものです。上顎前突は、前歯が必要以上に前に出ていたり、笑った時に歯茎が気になったり(ガミースマイル)と様々です。もちろん見た目(審美的)にも問題がある他、発音しにくい、歯磨きしにくいなどの問題があります。
原因とされるのは大きく分けて骨格上の先天的なもの、生活習慣などによる後天的なものに分けられます。先天的な上顎前突は、生まれつき顎が小さく歯が大きい場合に前に飛び出るように生えてしまったりすることが考えられます。一方、後天的な上顎前突は、「口呼吸」「舌で前歯を強く押し出す舌癖がある」「おしゃぶりを強く噛む」などの癖が無意識に行われることで、歯が前に向かって生えたりすることがあります。
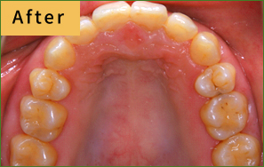
※ 歯並びの状態は一人一人違います。
そのため治療例は個人差があります。
主訴:出っ歯が気になる
診断名:重度の上顎前突
年齢:18歳
治療に用いた主な装置:マルチブラケット装置
抜歯部位:上顎左右第一小臼歯、下顎右側第一小臼歯
治療期間:約2年半
治療費用:おおよそ60万円
リスク副作用:
・矯正装置による痛みや違和感を感じることがあります。
・矯正治療後、保定装置の未装着や悪習慣などにより後戻りすることがあります。
・治療中、歯磨きが難しくなることで虫歯や歯肉炎に罹患しやすくなります。
・使用する装置の中には完成物薬機法対象外の矯正歯科装置も含まれており、医薬品副作用被害救済制度の対象外となる場合があります。









